Our flagship product, Rontgen Trauma, is our Fracture Recognition Software, it is a testament to our commitment to driving innovation in radiology. Our software seamlessly integrates with existing PACS systems to offer rapid, highly precise fracture recognition.
Our software offers highly accurate and fast diagnoses, enabling early recognition of critical lesions, reduce medical workload and improve the overall efficiency of medical imaging departments.

By combining advanced machine learning algorithms with a deep understanding of human anatomy, our software can detect abnormalities, helping to ensure no fracture goes undiagnosed.


The process begins when an X-ray image is uploaded into the system PACS and a copy is sent to our API. This could be a new image taken in an emergency room, a routine check-up, or any other clinical setting.

Our software then processes this image, analyzing it with our advanced AI model that has been trained on a vast dataset of X-ray images. Our proprietary model can recognize patterns and features that are indicative of fractures.

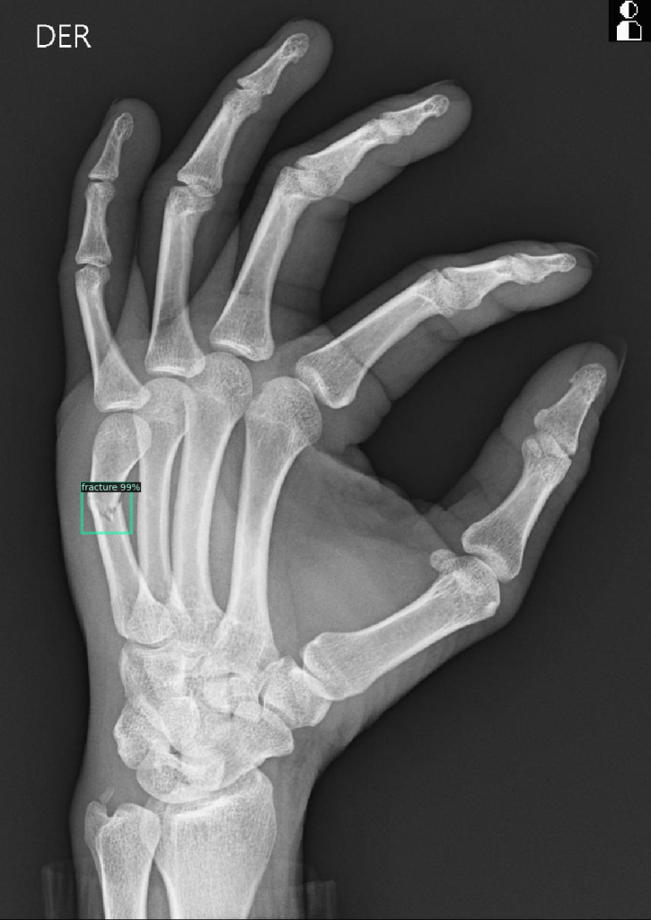
If the model detects patterns that match its training on fractures, it identifies the potential fracture. The identified regions are highlighted by the software, creating what we call a “bounding box” around the potential fracture site.

The software then presents the X-ray image with the highlighted areas back to the healthcare professional through PACS, providing them with a precise location where a fracture may exist.
While the Rontgen Trauma is our flagship product, we’re just getting started.
Our vision goes beyond fracture recognition. The same base technology can be trained and adapted for a range of other applications in radiology and beyond. We’re excited about exploring new ways to harness AI for healthcare, from early detection of various diseases to personalized treatment plans.


Explore how Rontgen is transforming medical imaging! In this video, we demonstrate our AI-powered Fracture Recognition Assistant in action.
Witness how our software seamlessly analyzes X-ray images, accurately identifies potential fractures, and aids healthcare professionals in making fast, efficient diagnoses. Revolutionize patient care with Rontgen Trauma.
At Rontgen AI, we believe in the transformative power of AI in healthcare. We’re a dedicated team of software engineers, medical professionals, and data scientists committed to revolutionizing radiology.
Our journey began with a simple, yet ambitious mission: to augment human expertise in healthcare with AI for faster, more accurate diagnoses. We’re proud to be at the forefront of this exciting intersection of AI and medicine, driving change and improving patient outcomes.

See the Future of Medical Imaging Today
Experience firsthand the revolutionary power of Rontgen Trauma our Fracture Recognition Software.
Join the growing number of healthcare professionals leveraging our AI-powered software to improve diagnosis speed, accuracy, and overall patient outcomes.
Request a Demo Today and witness how Rontgen can seamlessly integrate into your workflow, provide precise fracture recognition, and revolutionize your approach to medical imaging.
Transform your radiology department. Transform patient care. Make the decision today that will reshape your tomorrow. Contact us now to schedule your demo.